5 challenging questions to the embryologist
We interviewed the embryologist of the Medical center IGR - Nataliia Buderatska.
- Why, for example, 12 eggs do not create 12 embryos?
In ART (assisted reproductive technologies) programs, 12 eggs can be retrieved in one cycle of controlled ovarian stimulation, but not all of them are mature and have a good quality. Often, abnormal oocytes resulting in abnormal fertilization or no fertilization doesn`t occure at all.
Also, sperm can have chromosomal abnormalities, as a result the abnormal fertilization occurs or embryos stop developing.
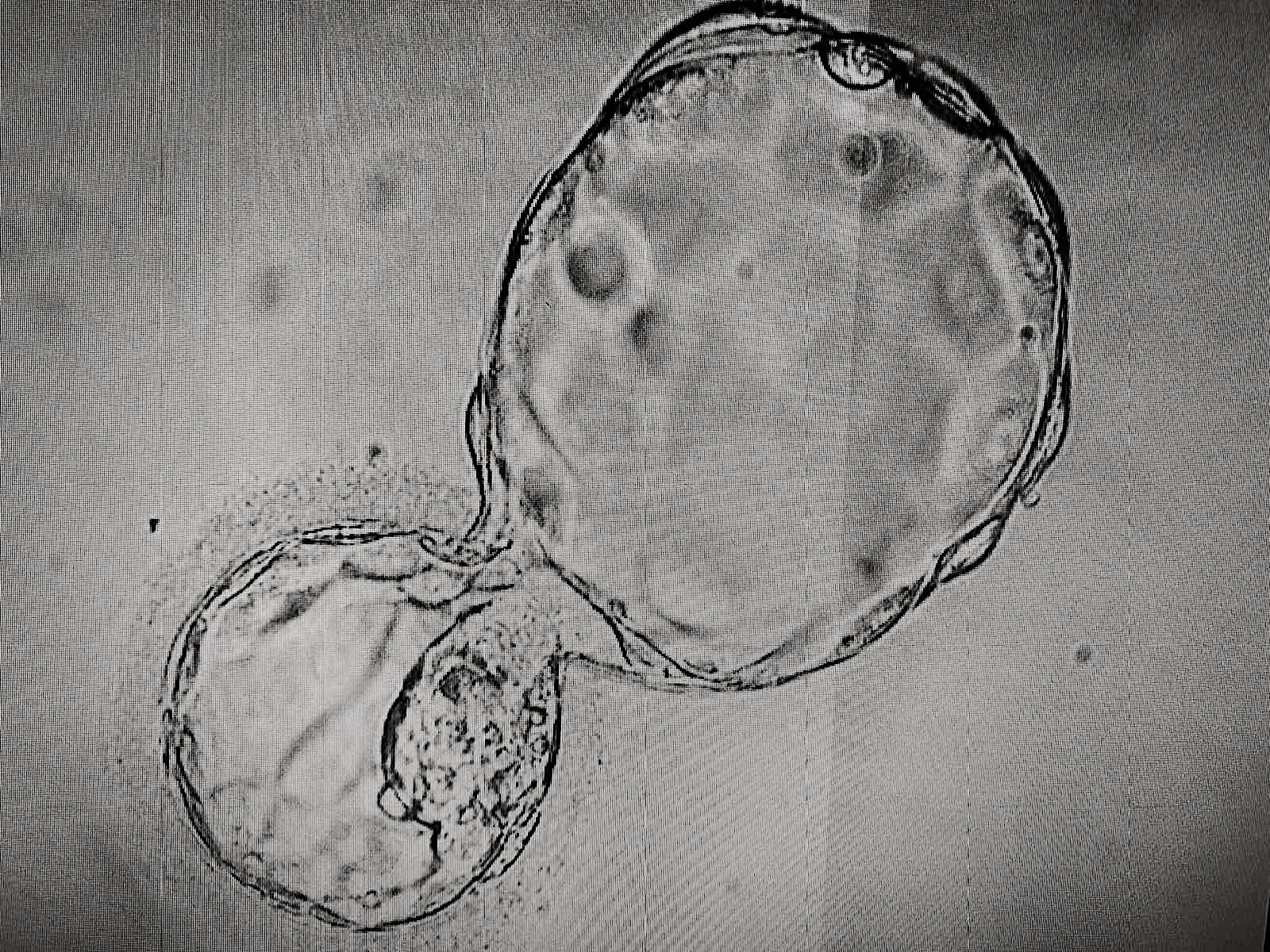
- How do you estimate the grade of the embryos?
In vitro embryos develop in incubators with optimal conditions (stable temperature, carbon dioxide level, oxygen).
High quality embryos on the second day have four cells, on the third - eight cells, on the fourth - the number of cells doubles, the boundaries between the cells merge, the embryo becomes compact, a morula is formed, on the fifth day the number of cells increases, a blastocyst is formed.
Photo of the embryos on the 2d day of developing
Photo of the embryos on the 3d day of developing
High quality blastocysts, with the euploid set of chromosomes, 46,ХХ
High quality blastocysts, with the aneuploid set of chromosomes, 49,Х,+3,+5,+18,+21
A high-quality blastocyst has a multicellular trophectoderm, from which the placenta is subsequently formed, and a compact intracellular mass, from which the embryo is formed.
- Is it true that an embryo of a high quality, for example 5AA, can have chromosomal abnormalities?
Embryos with multiple chromosomal abnormalities may stop in development, have fragmentation of the cytoplasm, uneven blastomeres, small-cell trophectoderm, non-compact intracellular mass.
When performing preimplantation genetic testing (PGT), approximately 35-40% of high quality blastocysts can have chromosomal abnormalities, which leads to abortion or the birth of a child with chromosomal abnormalities.
- Does it happen that an unhealthy child is born, although the parents did the PGT?
According to statistic, 25-30% of embryos can have a mosaic set of chromosomes, that is, some of the cells may contain a normal set of chromosomes, and some are abnormal, and therefore the conclusion of preimplantation genetic testing is not a diagnosis of the fetus, since only a few cells taken from the trophectoderm are examined.
- How do you think IVF technologies will change in the future?
Unfortunately, the development of IVF technologies cannot guarantee pregnancy. Infertility is the entire biological program. No matter how hard reproductive scientists and embryologists try, only in co-creation with biological parents a real Miracle occurs - the onset of pregnancy and the birth of a healthy child. And even from the poor -quality embryos wonderful children are born.
